Căn bệnh siêu hiếm trên thế giới: 7 năm liền “ăn vào là nôn ra”, được Bệnh viện FV phẫu thuật thành công

Căn bệnh siêu hiếm trên thế giới: 7 năm liền “ăn vào là nôn ra”, được Bệnh viện FV phẫu thuật thành công

Bệnh viện FV vừa chẩn đoán và điều trị thành công một trường hợp giãn tá tràng khổng lồ (Megaduodenum) đầu tiên tại Việt Nam. Đây là bệnh lý cực hiếm mà y văn thế giới mới ghi nhận khoảng 15 ca.

Ca cấp cứu cho bệnh nhân với dạ dày chứa 5 lít dịch

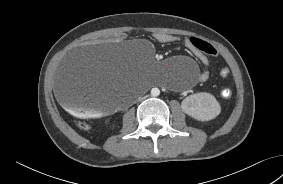
Anh Y.C.S. (42 tuổi, Campuchia) nhập viện FV trong tình trạng nguy kịch: nôn ra máu, sốc do thiếu máu và thiếu dịch, cơ thể suy kiệt, bụng chướng to bất thường. Kết quả CT scan khiến các bác sĩ kinh ngạc: dạ dày, tá tràng đã giãn cực đại, chiếm gần toàn bộ khoang bụng.

Bệnh nhân nhanh chóng được hồi sức tích cực, truyền máu, ổn định huyết động. Khi đặt ống thông dạ dày, các bác sĩ FV đã rút ra hơn 5 lít dịch ứ đọng từ dạ dày và tá tràng của bệnh nhân. Trước đó 1 tháng, anh từng trải qua cuộc phẫu thuật tại cơ sở y tế khác để điều trị chứng buồn nôn và nôn ói kéo dài suốt 7 năm; tuy nhiên bệnh không thuyên giảm, thậm chí ngày càng trầm trọng hơn.

Một cuộc hội chẩn giữa các bác sĩ Cấp cứu, Hồi sức, Ngoại tổng quát, Nội tiêu hóa và Chẩn đoán hình ảnh được thiết lập để tìm lời giải cho tình trạng bất thường này.

 “Tình trạng nôn ra máu do viêm lan tỏa dạ dày tá tràng xuất huyết được xác định bằng nội soi dạ dày tá tràng cấp cứu, và được bình ổn khi điều trị thuốc. Vấn đề khó khăn là tình trạng giãn lớn dạ dày tá tràng. Ban đầu, chúng tôi nghi ngờ bệnh nhân bị tắc ruột do vết mổ cũ, nhưng sau khi làm các khảo sát nội soi, chụp cắt lớp vi tính… thì kết quả không phải. Lúc này, chúng tôi mới nghĩ đến khả năng cao bệnh nhân mắc một căn bệnh hoàn toàn khác”, ThS.BS.CKII Phan Văn Thái – Trưởng khoa Ngoại Tổng quát, Bệnh viện FV nhận định.

Tá tràng giãn to như ống tay áo và mất hoàn toàn chức năng

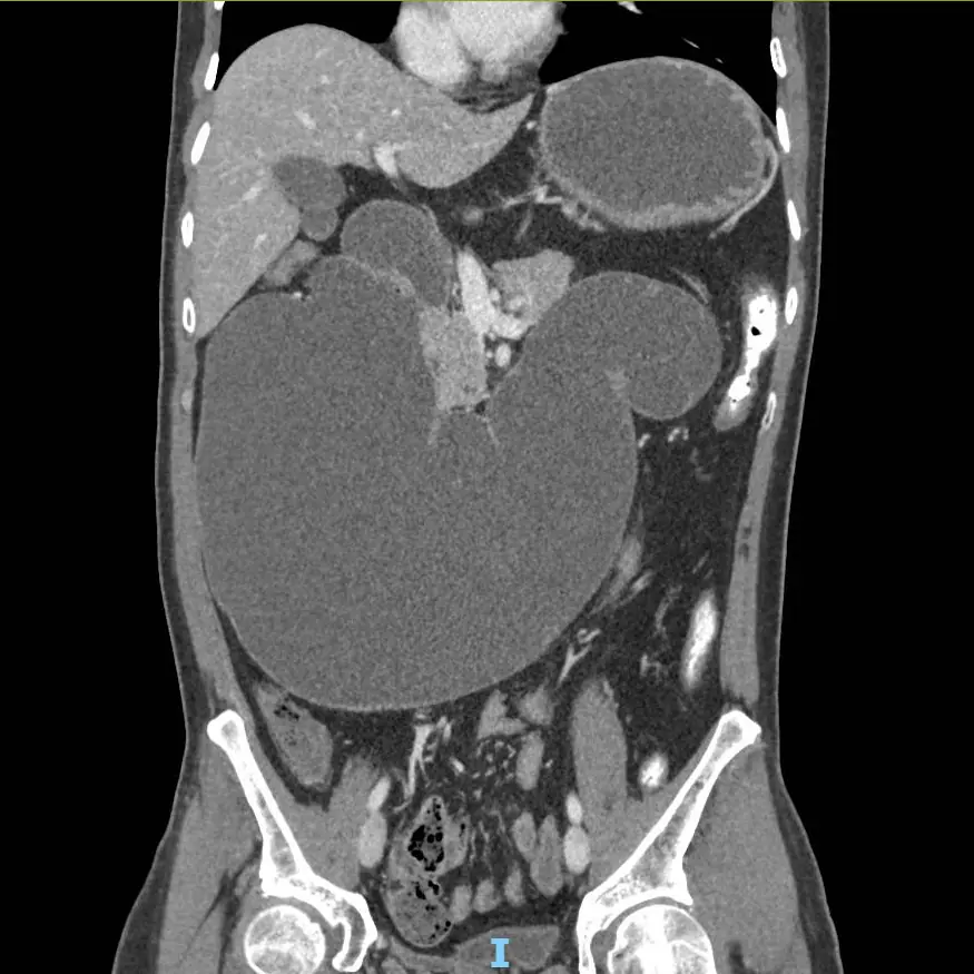
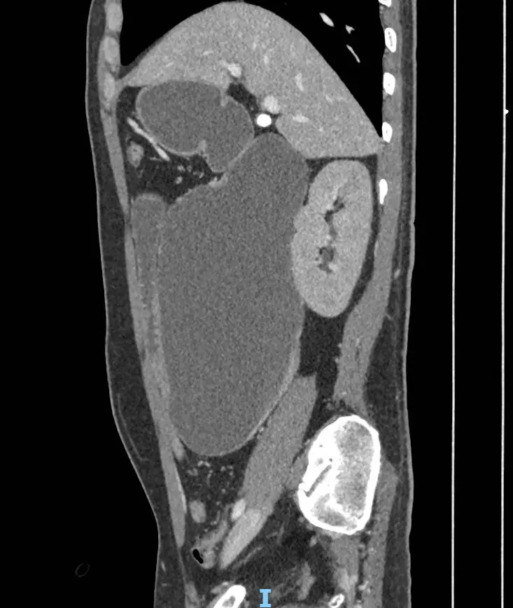
“Tá tràng là đoạn đầu tiên của ruột non, nối với dạ dày, dài khoảng 25cm. Ở người bình thường, tá tràng trong trạng thái xẹp, kích thước to chừng ngón tay, khi thức ăn đi vào thì giãn ra bằng đầu ngón chân cái. Riêng bệnh nhân này, khẩu kính tá tràng đo được có đường kính 12cm, chu vi 38cm, to bằng ống tay áo”, bác sĩ Thái cho hay.

Một dấu hiệu khá lạ và có ý nghĩa ghi nhận trong quá trình theo dõi ở ca bệnh này, đó là dạ dày đã xẹp và co lại rõ rệt sau khi đặt ống thông mũi – dạ dày – tá tràng 3 ngày, nhưng tá tràng thì không. Tá tràng vẫn giãn cực đại, dính vào các cơ quan xung quanh, gần như chiếm trọn không gian nội tạng phần bụng chậu và mất hoàn toàn chức năng co bóp.

Chi tiết này khiến các bác sĩ nhận ra: bệnh nhân không hề bị tắc ruột như nghi vấn ban đầu. Vấn đề nằm ở chính tá tràng.

Dựa trên kinh nghiệm lâm sàng sắc bén, ThS.BS.CKII Phan Văn Thái – Trưởng khoa Ngoại Tổng quát cùng ê-kíp đã loại trừ các nguyên nhân thông thường để đưa ra kết quả chẩn đoán cuối cùng là Idiopathic Megaduodenum – giãn tá tràng khổng lồ vô căn.

Ca đại phẫu tái tạo tá tràng và đường tiêu hóa

Giãn tá tràng khổng lồ vô căn là tình trạng tá tràng giãn rộng và kéo dài bất thường, gây rối loạn tiêu hóa, thức ăn bị ứ đọng lại ở tá tràng không xuống ruột non mà phải nôn ra ngoài, suy dinh dưỡng, suy kiệt. Theo y văn thế giới, cách điều trị tối ưu nhất cho căn bệnh này là cắt bỏ hoàn toàn đoạn tá tràng bệnh lý và tái tạo một tá tràng mới cho bệnh nhân.

Đây là một trong những phẫu thuật phức tạp trong ngành phẫu thuật ống tiêu hóa. Tá tràng nằm ôm quanh đầu tụy, nơi hợp lưu của đường dẫn dịch mật và đường dẫn dịch tụy, và là nơi nhiều mạch máu lớn đi qua. Chỉ một sai sót nhỏ có thể gây tổn thương mạch máu hoăc rò rỉ dịch tiêu hóa, nguy hiểm nhất là dịch tụy – loại dịch có khả năng “tiêu hóa” chính mô cơ thể.

Minh họa kỹ thuật tái tạo đường tiêu hóa sau khi cắt bỏ tá tràng. Ảnh: ScienceDirect

Khi thực hiện phẫu thuật, bác sĩ Phan Văn Thái và ê-kíp đã bóc tách toàn bộ tá tràng dính chặt vào các cơ quan xung quanh, cắt bỏ phần dị dạng, đồng thời sử dụng hai đoạn ruột non lành để tái cấu trúc lại hệ tiêu hóa: Một đoạn ruột non được nối trực tiếp với dạ dày để dẫn thức ăn xuống ruột. Đoạn còn lại được nối với phần tá tràng còn chừa lại để dẫn dịch mật và dịch tụy theo đúng sinh lý. Một “ngã ba tiêu hóa” hoàn toàn mới được tạo ra thay thế cho tá tràng đã mất chức năng suốt 7 năm.

ThS.BS.CKII Phan Văn Thái (bên trái) và ê-kip phẫu thuật cho bệnh nhân giãn tá tràng. Ảnh: FV

Sau phẫu thuật, bệnh nhân ăn uống bình thường, các triệu chứng cải thiện. Đó cũng là lần đầu tiên sau 7 năm, anh có thể ăn mà không nôn. Hình ảnh học cho thấy tá tràng mới tái tạo cũng như dạ dày, ruột non không có sự tích tụ bất thường. Sau mổ gần 3 tuần, bệnh nhân Y.C.S. xuất viện trong niềm hân hoan của gia đình.

“Khi đến FV, tôi đã đặt trọn niềm tin vào các bác sĩ có thể chữa khỏi bệnh cho tôi. Hiện tại kết quả điều trị đúng như mong đợi, tôi cảm thấy rất may mắn và biết ơn mọi người, đặc biệt là bác sĩ Thái và ê-kíp chẩn đoán bệnh rất đúng. Thật hạnh phúc khi bây giờ tôi ăn uống không còn bị ói ra nữa”, anh Y.C.S. chia sẻ.

Bệnh nhân Y.C.S. tái khám sau ca mổ. Ảnh: FV

Giãn tá tràng vô căn rất dễ bị nhầm lẫn với hội chứng động mạch mạc treo tràng trên (do động mạch này chèn ép lên đoạn xa tá tràng làm giãn tá tràng), cũng như nhầm với các tắc ruột thông thường khác. Trong nhiều trường hợp trên thế giới, bệnh nhân mất nhiều năm mới được chẩn đoán đúng bệnh.

Bác sĩ Phan Văn Thái tư vấn cho bệnh nhân trong lần tái khám gần nhất. Ảnh: FV

Chẩn đoán đúng bệnh là mắt xích quan trọng nhất để điều trị thành công những căn bệnh hiếm và phức tạp như trên. Sự kết hợp giữa các chuyên gia giàu kinh nghiệm và phương tiện hiện đại của Bệnh viện FV, đã một lần nữa chứng minh hiệu quả phối hợp đa chuyên khoa ăn ý trong chẩn đoán và điều trị. Điều này cũng cho thấy thế mạnh của FV trong chẩn đoán và xử lý các bệnh lý hiếm gặp.

Để thăm khám và được điều trị phẫu thuật các bệnh đường tiêu hóa với ThS.BS.CKII Phan Văn Thái, bạn đọc có thể liên hệ Khoa Ngoại Tổng quát, Bệnh viện FV địa chỉ số 06 Nguyễn Lương Bằng, phường Tân Mỹ (Quận 7 cũ), TP.HCM, Điện thoại: 028 3511 3333, hotline cấp cứu 028 3511 3500.

Hình ảnh chụp cắt lớp vi tính: tá tràng giãn khổng lồ chiếm gần hết khoang bụng

Hình ảnh chụp cắt lớp vi tính: tá tràng giãn khổng lồ

H.K.T

Gia Đình